 
       
       
       
       
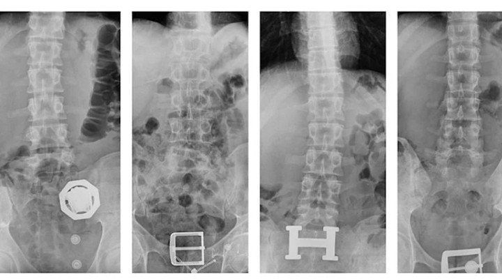
    Diyarbakır İl Emniyet Müdürlüğü Narkotik Suçlarla Mücadele Şube Müdürlüğü ekiplerince yapılan çalışmalarda, doğu illerinden Diyarbakır’a geldiği tespit edilen otomobil, Bağcılar Mahallesinde durduruldu. İçinde bulunan 4 şüphelinin üst aramalarında herhangi bir suç unsuruna rastlanılmadı. Ancak şüpheliler, tedirgin haller sergilemeleri ve rahatsızlık belirtisi vermeleri üzerine, hastaneye götürüldü.
4 şüphelinin çekilen röntgenlerinde midelerinde 121 parça halinde 840 gram eroin tespit edildi. Uyuşturucular, yapılan tedavinin ardından çıkarıldı.
Şüpheliler, işlemlerinin ardından sevk edildikleri adliyede çıkarıldıkları mahkemece ‘Uyuşturucu veya uyarıcı madde ticareti yapma veya sağlama’ suçlarından tutuklanarak cezaevine gönderildi.
|  |  |  |  | |||||
| 
 | 
 | |||||||
|  Küfür, hakaret içeren; dil, din, ırk ayrımı yapan; yasalara aykırı ifade ve beyanda bulunan ve tamamı büyük harflerle yazılan yorumlar yayınlanmayacaktır. Neleri kabul ediyorum: IP adresimin kaydedileceğini, adli makamlarca istenmesi durumunda ip adresimin yetkililerle paylaşılacağını, yazılan yorumların sorumluluğunun tarafıma ait olduğunu, yazımın, yetkililerce, fikrim sorulmaksızın yayından kaldırılabileceğini bu siteye girdiğim andan itibaren kabul etmiş sayılırım. | 
| # | TAKIM | O | G | B | M | A | Y | AV | P | 
|---|---|---|---|---|---|---|---|---|---|
| 1 | Galatasaray | 10 | 9 | 1 | 0 | 25 | 5 | 20 | 28 | 
| 2 | Trabzonspor | 10 | 7 | 2 | 1 | 17 | 7 | 10 | 23 | 
| 3 | Fenerbahçe | 10 | 6 | 4 | 0 | 18 | 6 | 12 | 22 | 
| 4 | Beşiktaş | 10 | 5 | 2 | 3 | 16 | 12 | 4 | 17 | 
| 5 | Samsunspor | 10 | 4 | 5 | 1 | 14 | 10 | 4 | 17 | 
| 6 | Gaziantep FK | 10 | 5 | 2 | 3 | 15 | 18 | -3 | 17 | 
| 7 | Göztepe | 10 | 4 | 4 | 2 | 12 | 6 | 6 | 16 | 
| 8 | Tümosan Konyaspor | 10 | 4 | 2 | 4 | 17 | 15 | 2 | 14 | 
| 9 | Corendon Alanyaspor | 10 | 3 | 4 | 3 | 11 | 11 | 0 | 13 | 
| 10 | Kocaelispor | 10 | 3 | 2 | 5 | 10 | 14 | -4 | 11 | 
| 11 | Rams Başakşehir | 10 | 2 | 4 | 4 | 11 | 9 | 2 | 10 | 
| 12 | Çaykur Rizespor | 10 | 2 | 4 | 4 | 11 | 14 | -3 | 10 | 
| 13 | Kasımpaşa | 10 | 2 | 4 | 4 | 9 | 12 | -3 | 10 | 
| 14 | Hesap.com Antalyaspor | 10 | 3 | 1 | 6 | 11 | 20 | -9 | 10 | 
| 15 | Gençlerbirliği | 10 | 2 | 2 | 6 | 10 | 15 | -5 | 8 | 
| 16 | ikas Eyüpspor | 10 | 2 | 2 | 6 | 6 | 13 | -7 | 8 | 
| 17 | Zecorner Kayserispor | 10 | 0 | 6 | 4 | 8 | 22 | -14 | 6 | 
| 18 | Mısırlı.com.tr Fatih Karagümrük | 10 | 1 | 1 | 8 | 10 | 22 | -12 | 4 | 
| 19 | 

 Künye
Künye İletişim
İletişim Facebook
Facebook Twitter
Twitter RSS
RSS Sitene Ekle
Sitene Ekle Günün Haberleri
Günün Haberleri