Koronavirüse yakalanan 8 yaşındaki ABD'li çocuk son derece nadir görülen bir durumla karşı karşıya kaldı.
Minnesota'da yaşayan Avella Braun Mart ayı başlarında virüse yakalandıktan sonra tüm hayatı değişti.
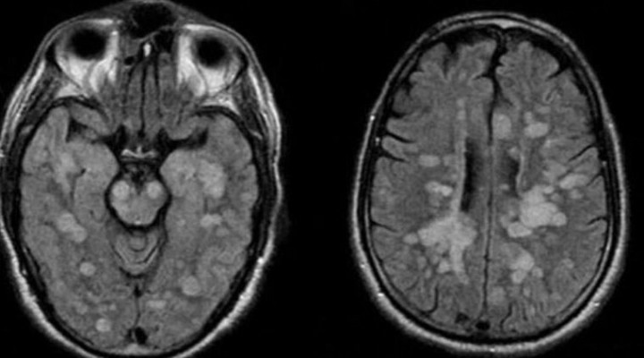
The Mirror gazetesinde yer alan habere göre, Braun koronavirüs nadir görülen oto-bağışıklık hastalığını tetikledikten sonra felç kaldı.

'ADEM' TEŞHİSİ KONULDU
Talihsiz çocuğa vücudun bağışıklık sistemi kendisine saldırarak omurilik ve beynin şişmesine neden olan nadir bir akut yayılmış Ensefalit (ADEM) teşhisi koyuldu.
Avella’nın doktoru Dr. Michael Pitt, "Bu vakada yaşananların en büyük tetikleyicisi koronavirüs olmuştur” dedi.
Braun’un Akut dissemine ensefalomyelit (ADEM) santral sinir sisteminin immun aracılıklı bir bozukluğuna yakalandığı bildirildi.
Tıp uzmanları, Haziran ayında koronavirüs ve ADEM arasındaki bağlantıyı kurmaya başladıklarını açıklamıştı.
Uzmanlar, dünyada, koronavirüs atlatan kişilerde benzer vakalara rastladıkları konusunda uyarıyor.
![]() |
![]() |
![]() |
![]() |
|||||
|
|
|||||||
![]() Küfür, hakaret içeren; dil, din, ırk ayrımı yapan; yasalara aykırı ifade ve beyanda bulunan ve tamamı büyük harflerle yazılan yorumlar yayınlanmayacaktır. Neleri kabul ediyorum: IP adresimin kaydedileceğini, adli makamlarca istenmesi durumunda ip adresimin yetkililerle paylaşılacağını, yazılan yorumların sorumluluğunun tarafıma ait olduğunu, yazımın, yetkililerce, fikrim sorulmaksızın yayından kaldırılabileceğini bu siteye girdiğim andan itibaren kabul etmiş sayılırım. |
| # | TAKIM | O | G | B | M | A | Y | AV | P |
|---|---|---|---|---|---|---|---|---|---|
| 1 | Galatasaray | 33 | 24 | 5 | 4 | 77 | 29 | 48 | 77 |
| 2 | Fenerbahçe | 33 | 21 | 10 | 2 | 74 | 34 | 40 | 73 |
| 3 | Trabzonspor | 33 | 20 | 9 | 4 | 61 | 36 | 25 | 69 |
| 4 | Beşiktaş | 33 | 17 | 8 | 8 | 57 | 38 | 19 | 59 |
| 5 | Göztepe | 33 | 14 | 13 | 6 | 42 | 29 | 13 | 55 |
| 6 | Rams Başakşehir | 33 | 15 | 9 | 9 | 56 | 34 | 22 | 54 |
| 7 | Samsunspor | 33 | 12 | 12 | 9 | 43 | 45 | -2 | 48 |
| 8 | Çaykur Rizespor | 33 | 10 | 10 | 13 | 44 | 50 | -6 | 40 |
| 9 | Tümosan Konyaspor | 33 | 10 | 10 | 13 | 42 | 48 | -6 | 40 |
| 10 | Corendon Alanyaspor | 33 | 7 | 16 | 10 | 40 | 39 | 1 | 37 |
| 11 | Kocaelispor | 33 | 9 | 10 | 14 | 26 | 37 | -11 | 37 |
| 12 | Gaziantep FK | 33 | 9 | 10 | 14 | 42 | 56 | -14 | 37 |
| 13 | ikas Eyüpspor | 33 | 8 | 8 | 17 | 30 | 45 | -15 | 32 |
| 14 | Kasımpaşa | 33 | 7 | 11 | 15 | 32 | 49 | -17 | 32 |
| 15 | Natura Dünyası Gençlerbirliği | 33 | 8 | 7 | 18 | 33 | 47 | -14 | 31 |
| 16 | Hesap.com Antalyaspor | 33 | 7 | 8 | 18 | 32 | 55 | -23 | 29 |
| 17 | Mısırlı.com.tr Fatih Karagümrük | 33 | 7 | 6 | 20 | 29 | 53 | -24 | 27 |
| 18 | Zecorner Kayserispor | 33 | 5 | 12 | 16 | 25 | 61 | -36 | 27 |
| 19 |

Künye
İletişim
Facebook
Twitter
RSS
Sitene Ekle
Günün Haberleri