Kent dışında çalışan N.T.’nin, göğüs ağrısı şikayetiyle gittiği hastanede çekilen tomografisinde sağ akciğerinde 4 santimetre çapında tümör tespit edildi. Kanser olabileceği şüphesiyle yapılan ileri tetkikler sonrası N. T.’ye akciğer kanseri teşhisi kondu ve acil ameliyat kararı verildi.
Bunun üzerine N.T., ameliyat için memleketi Kahramanmaraş’a geldi. Sütçü İmam Üniversitesi Sağlık Uygulama ve Araştırma Hastanesi Göğüs Cerrahi Anabilim Dalı Öğretim Üyesi Dr. Fatoş Kozanlı da tomografi ve test sonuçlarına göre N. T.’ye akciğer kanseri teşhisi koydu ve ameliyat yapılması gerektiğini söyledi.
Ameliyat öncesi N.T.’nin Covid-19 testi pozitif çıkınca operasyon ertelendi. Corona virüsü tedavisine başlanan N.T.’nin son testi negatif çıktı. Dr. Fatoş Kozanlı, tedavi sonrası tomografisi çekilen N.T.’nin akciğerindeki tümörün yok olduğunu gördü. Kozanlı, N.T.’nin kendilerine başvurduğunda corona belirtisi olmadığını ancak ameliyat öncesi PCR testi yaptıklarını söyledi. Corona virüsü tedavisinin ardından ortaya çıkan sonucun kendisini de şaşırttığını belirten Kozanlı, şunları söyledi:
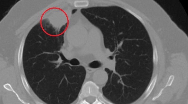
– Hastamız, çalıştığı başka bir kentte göğsünden darbe alıyor ve ağrıları geçmeyince bir üniversite hastanesine başvuruyor. Burada hastaya bir akciğer grafisi çekiliyor. Sağ akciğerinde bir kitleye rastlanıyor. Daha sonra hastaya, bir akciğer tomografisi çekiliyor ve göğüs cerrahisi için önemli büyüklükte olan 4 santimetre çapında, akciğer kanserine benzer özellikte radyolojik bulgular olan bir kitle tespit ediliyor. Daha sonra hastaya yapılan ileri tetkiklerde akciğer kanseri teşhisi konuluyor. Hastaya bir cerrahi planlanıyor.
– Hasta Kahramanmaraşlı olduğu için kendi memleketine gelmeyi tercih ediyor. Bize başvurdu ve göğüs ağrısı şikayeti vardı. Öksürük, nefes darlığı, balgam çıkarma, ateş gibi şikayetleri yoktu. Hastayı biz de değerlendirdik ve ameliyat olmasına karar verdik. Çünkü akciğer kanserine çok benzer radyolojik bulguları vardı. Sağlık Bakanlığımızın kuralları gereği her hastayı ameliyat öncesi PCR testi yapılır. Biz de ameliyat gecesi hastadan PCR testi aldık ve testi pozitif geldi. Ameliyatımızı 14 gün erteledik ve hastamıza corona tedavisi uygulandı.
– 14’üncü gün tekrar bize başvurdu ve yapılan PCR testi negatif çıktı. Yeni bir tomografi çektik ve tümörün tamamen ortadan kalktığını gördük. Şimdi sonuç bilgilerinden başlangıca gittiğimizde, bu bir akciğer kanseri olsaydı, ortadan kalkması mümkün değildi. Başka bir patolojiye bağlı durum olsaydı, yine verdiğimiz tedaviyle ortadan kalkmasını çok beklemeyiz. Antiviral tedavisi verdik ve hastanın radyolojik bulguları neredeyse tamamen normale döndü. Hastaya bunu izah ettik, ‘Dünya literatüründe hiç görülmeyen bir radyolojik bulgu’ diyerek. Bu gördüğümüz manzara artık hastanın akciğer grafisinde yok, akciğer kanseri değil.
Genel olarak dünya literatürüne baktığımızda virüsün akciğer bulguları, radyolojik bulguları infiltrasyon, buzlu cam dansitesi gibi bilinen bulgular. Ama bizim hastamızda akciğer tümörünü taklit eden bir kitle vardı. Ve biz bunu dünya literatüründe hiç görmemiştik. Bununla ilgili geniş çaplı bir araştırma yaptım. Hem kendi deneyimlerimden hem kendi hastanemizde yatan hastalardan yola çıkarak birçok hastanın radyolojik bulgularına baktık. Dünya literatürlerini karıştırdım, diğer arkadaşlarıma danıştım, benzeri bulguya rastlamadım.
![]() |
![]() |
![]() |
![]() |
|||||
|
|
|||||||
![]() Küfür, hakaret içeren; dil, din, ırk ayrımı yapan; yasalara aykırı ifade ve beyanda bulunan ve tamamı büyük harflerle yazılan yorumlar yayınlanmayacaktır. Neleri kabul ediyorum: IP adresimin kaydedileceğini, adli makamlarca istenmesi durumunda ip adresimin yetkililerle paylaşılacağını, yazılan yorumların sorumluluğunun tarafıma ait olduğunu, yazımın, yetkililerce, fikrim sorulmaksızın yayından kaldırılabileceğini bu siteye girdiğim andan itibaren kabul etmiş sayılırım. |
| # | TAKIM | O | G | B | M | A | Y | AV | P |
|---|---|---|---|---|---|---|---|---|---|
| 1 | Galatasaray | 31 | 23 | 5 | 3 | 72 | 23 | 49 | 74 |
| 2 | Fenerbahçe | 31 | 19 | 10 | 2 | 68 | 33 | 35 | 67 |
| 3 | Trabzonspor | 30 | 19 | 8 | 3 | 57 | 32 | 25 | 65 |
| 4 | Beşiktaş | 30 | 16 | 7 | 7 | 54 | 36 | 18 | 55 |
| 5 | Rams Başakşehir | 31 | 14 | 9 | 8 | 52 | 31 | 21 | 51 |
| 6 | Göztepe | 31 | 13 | 12 | 6 | 39 | 27 | 12 | 51 |
| 7 | Samsunspor | 30 | 10 | 12 | 8 | 36 | 39 | -3 | 42 |
| 8 | Çaykur Rizespor | 31 | 9 | 10 | 12 | 41 | 44 | -3 | 37 |
| 9 | Tümosan Konyaspor | 30 | 9 | 10 | 11 | 38 | 41 | -3 | 37 |
| 10 | Gaziantep FK | 31 | 9 | 10 | 12 | 41 | 52 | -11 | 37 |
| 11 | Kocaelispor | 31 | 9 | 9 | 13 | 25 | 35 | -10 | 36 |
| 12 | Corendon Alanyaspor | 30 | 6 | 15 | 9 | 35 | 35 | 0 | 33 |
| 13 | Kasımpaşa | 31 | 7 | 10 | 14 | 29 | 45 | -16 | 31 |
| 14 | Natura Dünyası Gençlerbirliği | 31 | 7 | 7 | 17 | 30 | 44 | -14 | 28 |
| 15 | ikas Eyüpspor | 31 | 7 | 7 | 17 | 25 | 44 | -19 | 28 |
| 16 | Hesap.com Antalyaspor | 31 | 7 | 7 | 17 | 30 | 51 | -21 | 28 |
| 17 | Zecorner Kayserispor | 31 | 5 | 11 | 15 | 23 | 57 | -34 | 26 |
| 18 | Mısırlı.com.tr Fatih Karagümrük | 30 | 5 | 5 | 20 | 27 | 53 | -26 | 20 |
| 19 |

Künye
İletişim
Facebook
Twitter
RSS
Sitene Ekle
Günün Haberleri